非日常を体験しよう!
DIO Ecosystem
DIO Ecosystemは、デジタルビッグデータと人工知能(AI)技術を組み合わせて、
新しく設計されたフルデジタル補綴ソリューションです。
DIO Ecosystemのハードウェアとソフトウェアは、
効率的かつ合理的でより速いスピードで精密な補綴物を提供します。
スキャニングからデザイン、製作まで、すべてのワークフローをクリニック内で行い、
サージカルガイドや義歯を製作することが可能です。
DIO Ecosystemは、デジタルデンティストリーに欠かせなくなるでしょう。
非日常を体験しよう!
DIO Ecosystem
DIO Ecosystemは、デジタルビッグデータと人工知能(AI)技術を組み合わせて、新しく設計されたフルデジタル補綴ソリューションです。
DIO Ecosystemのハードウェアとソフトウェアは、効率的かつ合理的でより速いスピードで精密な補綴物を提供します。
スキャニングからデザイン、製作まで、すべてのワークフローをクリニック内で行い、サージカルガイドや義歯を製作することが可能です。DIO Ecosystemは、デジタルデンティストリーに欠かせなくなるでしょう。
DIO Ecosystemは精密に設計された技術力で
イノベーションの頂点に導きます。
01
DIO Ecosystemは
精密に設計された技術力で
イノベーションの
頂点に導きます
01

Perfect
Line-up
デジタル機器の万全な構成でデジタルクリニックを完成させましょう
Simple
AI がサポートすることで
補綴物をかつてないほど簡単に
正確にデザインできるようになりました


Simple
AI がサポートすることで
補綴物をかつてないほど簡単に
正確にデザインできるようになりました

Just
1 hour
驚異的な速さ!
わずか1時間で補綴物が完成します
Hardness
生体に優しい3D プリンティング素材
DIOnavi-P. MAXが天然歯に近い機能を再現します。


Hardness
生体に優しい3D プリンティング素材
DIOnavi-P. MAXが天然歯に近い機能を再現します。

Best
Choice
歯科技工所ではなく
クリニックで補綴物を製作できます
より簡潔な方法をお選びいただけます
DIO Ecosystem
Digital Workflow
Scanning
Scanning

患者様の口腔内の状態をスキャンして
印象データを取得します。
Designing
Designing


サージカルガイドの出力
クラウン
3D Printing
/ Curing
3D Printing
/ Curing


Completion
& Usage
Completion
& Usage


01
SCANNING
Medit i700
簡単なスキャンで 患者様と臨床医の先生に快適さをもたらします
Start of a digital clinic

Amazing Speed
Medit i700に搭載された2つの高速カメラは、人工知能を搭載したスキャンアルゴリズムがスキャンエリアを素早く認識し高速で効果的なスキャンを実現します。
また、高速ビデオ機能により、短時間で多くのデータを撮影することができます。

Scanning without Powder Coating
通常の症例をスキャンする際にはパウダーでコーティングする必要がないため、スキャン作業がシンプルになり、患者様にとってより快適な環境を提供することができます。

Small Scan-tip
スキャンチップは、スキャン範囲を考慮し最小限のサイズに設計されています。また、軽量化と長時間の使用を考慮したグリップ形状により、患者さんだけでなく臨床医にとっても快適なスキャンを実現します。

High-resolution Scan
HD高解像度カメラは、スキャンした歯の画像を細かく捉えてマージンを区別することで補綴物の適合性を高めます。また、軟組織と歯垢を分離するために、スキャン画像の色をリアルに表現することができます。

02
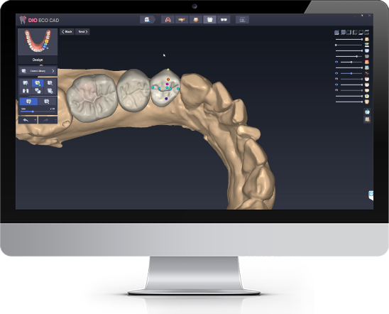
DESIGNING
DIO ECO CAD Software
ほしいデザインを望む瞬間にすぐに適用できるAI機能で
クラウンをデザインし 思い通りに変形出来ます
ほしいデザインを望む瞬間にすぐに適用できるAI機能でクラウンをデザインし 思い通りに変形出来ます


Magical result in one click
簡単でシンプルなデザインソフトで手間いらず
最適化された自動設計
ビッグデータとAI融合技術が適用されたDIO ECO CADなら、誰でも簡単に最適な補綴物を設計することができます。
Smart Abutment Library
スキャンアダプターとカスタムアバットメントのスキャンデータを個々のライブラリに切り替えることで、誰でも簡単かつ正確にインプラント補綴物のデザインを行うことができます。
Various Indications
オンレー、インレー、シングルクラウン、ブリッジクラウンなどの様々なタイプの補綴物を設計することができます。


03
3D PRINTING / CURING
DIO PROBO Z / Cure2
止まらない性能の進化


最も精密な3Dプリンターの最終形がここにある。
DIOの歴史上、最も精密な3Dプリンター、±50㎛の精度での出力に挑戦しています。
より速く、より強力になったDIO PROBO Zは、他のどのプリンターよりも優れた性能を発揮します。
High Resolution & Accuracy
1920 x 1080 フルHD DLPで高品質の補綴物出力が可能
精度とスピードの向上
出力物の全ての区間の精度が±50μmで「DIOnavi-P. MAX」を使用した場合、40本のシングルクラウンを一括出力するのに25分かかります。
Touch Screen & Intuitive UI
タッチパネルと使いやすいUIで、ユーザーの利便性を向上します。
合理的で賢明な選択
これにより、クリニックで簡単かつ経済的に補綴物を印刷することが可能になります。


04
DIO PROBO Z
Slicer Software

05
3D PRINTING MATERIAL
DIOnavi-P. MAX
Unlimited DIOnavi-P.MAX
どんな素材よりも固く強い
最高レベルの補綴耐久性をもう一度引き上げるために
ハイブリッドナノテクノロジーが適用されたDIONavi-P. MAX

190MPa
DIO研究所の3D Printer PROBO Zで開発した
190MPa以上の高強度および高弾性力を保有する補綴物
10g
片顎基準10g以下の軽量
審美性の実現


DIOnavi-P. MAX と PAEK Family Polymerの比較
*PEKK(Poly Ether Ketone Ketone)最良の物理的特性を持つPEAK系列の高分子材料で、航空・宇宙や医療用の体内埋没物として使用され、最近では歯科用固定補綴物、ポスト、テンポラリーアバットメント、アタッチメントとしても活用されている。
[JDT、2019年9月9日号、歯科用CAD/CAMシステム用ポリマー修復材料の表面特性と接着様相 / J Adv Res. 2020 Sep, PEKK, An emerging biomaterial for oral implants and dental prostheses]
*DIO R&Dセンターにて、3DプリンターDIO PROBO Zで製作した補綴物の硬度および曲げ強度を測定しました。
DIOnavi-SG
DIOnavi-SGは、患者様に合わせてカスタマイズされたインプラント手術用のサージカルガイドを3Dプリンターで出力できる生体適合性の光硬化レジン材料です。強度だけでなく、人体への毒性テストや生物学的テストも経た安全性が確保された材料です。
DIO Ecosystem
DIO Ecosystem